
Smile Gallery
Case
Overbite
Overbite
Because the upper front teeth protrude further forward than the lower front teeth, it is difficult to close the lips, and the mouth may appear to protrude forward. This can cause the side profile to lose balance, resulting in the impression of a "protruding mouth."
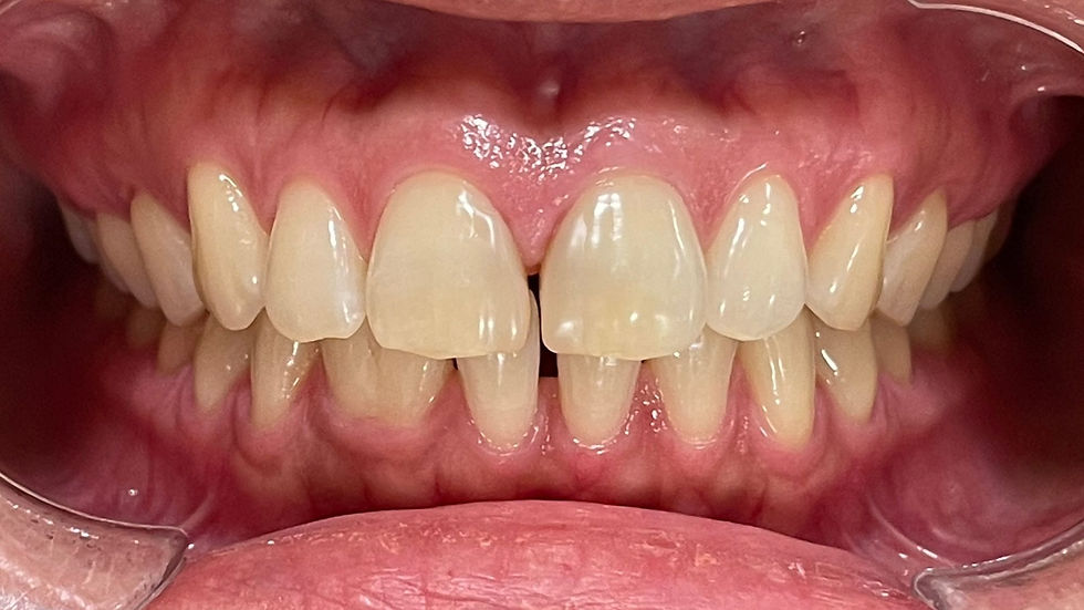
[Case] 26-year-old protruding teeth case: maxillary lingual braaces, mandibular labial braces

BEFORE

AFTER
Chief Complaint
I want to improve my gummy smile and my inability to close my mouth because my teeth are protruding.
Diagnosis
A case of maxillary protrusion with significant labial inclination of the maxillary anterior teeth and left-sided deviation of the mandible
age
26 years and 3 months old
Main equipment used in treatment
Maxillary lingual brackets, mandibular labial brackets, orthodontic anchor screws
Tooth extraction site
Both upper and lower first premolars
Duration of treatment
3 years and 4 months
Estimated treatment costs
1,650,000 yen (tax included)
Risks and Side Effects
Pain, root resorption, loss of vitality, gingival recession, relapse after treatment

Customer Requests
I want to improve my gummy smile and my protruding teeth, which means I can't close my mouth. I want to use a device that covers the back of my mouth so that no one notices.
Omotesando Sakurai Orthodontic Clinic's Proposal
I proposed to extract the upper and lower teeth symmetrically, set the front teeth back, and adjust the E-line using anchor screws to improve the gummy smile. I also proposed to place dummy teeth in the extracted areas so that no one would notice.












